迷人牙齿色泽
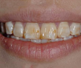
明显黄牙色泽
外源性色素牙
氟斑牙

自然皓齿美白可分为居家型及诊室型。居家型适用于轻中度外源性黄牙,而诊室型适用于轻重度外源性黄牙。

适用于轻中度外源性着色牙、黄牙、咖啡牙、烟渍牙。

在涂抹美白材料后,祛除牙体染色,适用于轻中氟斑牙。

牙齿美白过程中,医生需要对患者脸型、唇形、肤色等进行牙色的选择及设计,才能达到自然、美观的效果

无论是炫齿美白、自然皓齿美白、POLA美白还是氟斑牙强效美白,选择专业的口腔医院医师进行治疗非常重要,这些技术对医生的医学理论功底、操作技术以及审美观均有较高的要求。